新闻媒体
新闻媒体
案例分享 | 皮肤健康和年轻态的“守护者”—间充质干细胞

发布时间:2024-01-18    浏览量:0

皮肤作为人体的第一道生理防线和最大的器官,时刻参与着机体的功能活动,维持着机体和自然环境的对立统一,它具备着近乎完美的生理保护功能:屏障、吸收、感觉、体温调节、代谢、免疫等多种生理功能。在维护机体的健康方面,起到十分重要的作用


在我们的日常生活中,皮肤可能会因伤口、组织切割或断裂以及烧伤而受损,也会因为时间的流逝不再年轻,而这个进程又可能会因环境污染、暴露于紫外线辐射、饮酒、吸烟和营养不良等原因而加速。

皮肤损伤的修护是一个非常复杂、由多种因素共同参与的过程,需要经过皮肤细胞严密的编排、整合及分化、迁移、增殖和凋亡过程,才能实现皮肤多层结构的再生


近年来,随着组织工程学的飞速发展,发现间充质干细胞 (mesenchymal stem cells,MSCs)是构建全层皮肤的理想种子细胞在皮肤创伤以及帮助其年轻态的方面展现了良好的前景


干细胞—皮肤“健康”守护者

创伤修护

通常,皮肤伤口愈合包括四个重叠的阶段:止血、炎症、增生和成熟。而间充质干细胞在伤口愈合过程的各个阶段都有帮助。


间充质干细胞在皮肤问题修护中的应用可以促进伤口愈合和减少疤痕。最近的研究表明MSC-CM、细胞外基质(ECM)、外泌体、富血小板血浆(PRP)和细胞因子可改善修护多种组织类型的损伤。

△MSCs在皮肤再生和年轻化中的愈合机制示意图


2021年国外实验室从两只4个月大的雄性猪的骨盆中抽取骨髓组织,将培养的MSCs悬浮,皮内注射到每只猪背部皮肤的20个点。第28天对创面进行宏观观察,并于当日取创面染色。


对照组创面的宏观外观在创面制作28天后进行检查。在30倍的皮肤镜图像中,PBS组结皮仍然存在,上皮仅向创面中心发展相比之下,MSCs创面已经愈合得很好,上皮几乎完全

△猪急性皮肤创伤28天愈合示意图


28天MSCs治疗的伤口愈合良好,仅可见非常细的疤痕。组织学上,胶原结构较厚,创面出现弹性纤维。组织形态学分析表明,MSCs治疗的伤口评分高于对照组。在MSCs处理的伤口中,成纤维细胞明显大于对照组

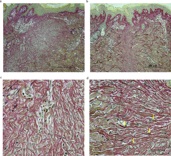
△猪急性皮肤创伤弹性范吉森染色示意图


创面组织图像采用弹性范吉森染色。胶原纤维呈红色,弹性纤维呈深紫色。

a.PBS对照组胶原纤维细且无方向性。

b.MSCs组胶原结构取向良好。

c.a放大图虚线的右侧是伤口的面积。在对照组中,我们几乎没有观察到弹力纤维。

d.b放大图。虚线的右侧是伤口的面积。在MSCs组中,伤口部位有明显的弹性纤维。


这些结果表明,MSCs移植使伤口几乎完全愈合,可能表明再生到正常皮肤


烧伤修护:

烧伤是世界范围内最主要的伤害之一。恢复取决于烧伤的严重程度,其次从表面烧伤和最小疤痕中恢复需要数周时间。严重的烧伤损伤包括三度烧伤(3)和全层皮肤损伤。血管生成对于严重烧伤愈合所需的血液供应至关重要。


一些研究报道了间充质干细胞有助于烧伤的愈合。间充质干细胞增加伤口愈合和血管生成,并减少疤痕。


2015年JinjinZhang实验室取体重为200±5g的雄性SD大鼠建立烧伤模型,随机分为对照组和MSCs移植组,移植组大鼠烧伤后24H皮下注射MSCs比较7d、14d、21d、28d创面愈合率及创面愈合时间,采用方差分析进行统计学分析。

△鼠皮肤烧伤病理染色示意图


组织病理学检查证实模型为III级烧伤,两组烫伤后14天均出现肉芽组织对照组新生肉芽组织较少与对照组相比,移植组毛细血管和成纤维细胞数量明显增加,形成的肉芽组织更丰富。


烧伤后28天,移植组皮肤各层新生毛细血管丰富,结构清晰,而对照组皮肤各层模糊,新生血管充血较多。组织病理学检查结果表明,MSCs能促进烧伤创面肉芽组织生长


干细胞—捍卫皮肤年轻态

随着年龄的增长,皮肤自然失去胶原蛋白含量,弹性纤维紊乱。


衰老的皮肤显示出氧化活性的增加,并且基质金属蛋白酶的产生增加,这通常与基质降解有关,随着社会经济水平的上升,我们对于保持皮肤年轻态需求也在不断上升


AD-MSCs有再上皮化和皮肤再生所需的几种生长因子的分泌能力,在保持肌肤年轻态的过程中备受关注。

近年来,注射从抽脂术中提取的脂肪中扩增的AD-MSCs后,衰老面部皮肤的组织学和结构发生了变化。AD-MSCs处理导致真皮浅层弹性纤维增加,胶原蛋白和网状纤维网络发生改变,排列更加整齐


随后,AD-MSCs被观察到可以诱导光老化皮肤的太阳弹性完全再生。AD-MSCs的移植导致皮肤弹性基质成分的完全再生,真皮深层的弹性异常弹性蛋白沉积被降解并被典型的聚合弹性纤维网络所取代。


应用后皮肤皱纹减少,促进表皮细胞增殖。巨噬细胞浸润和活性氧(ROS)的产生减少,从而抑制了MMP的激活和胶原降解。体外分析显示成纤维细胞活性增加,对UVB诱导的衰老具有保护作用。

未来展望

中国科学院周琪院士说:“干细胞的价值在于它的科学本质,干细胞它可以自己不断地复制自己,并向各种组织器官分化。这种特性决定它有这种潜质,可以替代、修复那些缺损的器官,甚至是延缓我们的衰老,增强我们的健康。


一系列的研究表明,间充质干细胞在皮肤修护中的潜力。例如,对间充质干细胞的研究表明其在愈合,特别是由于巨噬细胞激活免疫功能的改善细胞因子的产生。此外,间充质干细胞已被证明可以改善皮肤状况通过改善抗氧化活性,促进细胞增殖,并改善整体皮肤形态。


总结目前的临床研究:

1:间充质干细胞具有愈合能力可用于受损和老化的皮肤。

2:间充质干细胞增加细胞增殖和新生血管,并减少皮肤损伤病变的炎症。

3:间充质干细胞产生胶原蛋白和弹性纤维,抑制金属蛋白酶的激活,并促进对紫外线辐射诱导的衰老的保护。


尽管这项技术相对较新,在干细胞研究过程中显示出巨大的潜力,也期待着干细胞方面科研的早日成熟,去造福更多有需要的朋友。


【注】文章内容旨在科普细胞知识,进行学术交流分享,了解行业前沿发展动态,不构成任何应用建议。

参考文献

[1] Satoh,H.;Kishi,K.;Tanaka,T.;Kubota,Y.;Nakajima,T.;Akasaka,Y.;Ishii,T.Transplanted mesenchymal stem cells are effective for skin regeneration in acute cutaneous wounds of pigs.2004,13,405–412.

[2] Hantae Jo 1,Sofia Brito 1,Byeong Mun Kwak,Applications of Mesenchymal Stem Cells in Skin Regeneration and Rejuvenation.. Sci. 2021 Feb 27;22(5):2410

[3]Rožman, P. (2019, July 19). How Could We Slow or Reverse the Human Aging Process and Extend the Healthy Life Span with Heterochronous Autologous Hematopoietic Stem Cell Transplantation.

[4]Yeo GEC, Ng MH, Nordin FB, Law JX. Potential of Mesenchymal Stem Cells in the Rejuvenation of the Aging Immune System. Int J Mol Sci. 2021 May 27;22(11):5749.